Ca lâm sàng
Bệnh nhân, nữ 45 tuổi (1970), Địa chỉ: Vũng Tàu, Nghề nghiệp: Giáo viên, Dân tộc: Kinh Nhập viện: 22/04/2015 Lý do: đau đầu. Sáng ngày 21/04/2015 7h45’ bệnh nhân được gây mê nội soi buồng tử cung để cắt đốt polyp nhân xơ, Cùng ngày sau khi tỉnh dậy bệnh nhân than đau đầu dữ dội vùng đỉnh đầu, giữa trán lệch về bên phải, đau từng cơn kéo dài khoảng 2-3 tiếng, không tư thế giảm đau, kèm chóng mặt, bệnh nhân được dùng thuốc giảm đau nhưng không bớt. Đến tối cùng ngày bệnh nhân sụp mi mắt phải, đau đầu ngày càng nhiều hơn nên được chuyển tới Bv Chợ Rẫy. Tiền sử bản thân: – PARA 2002 – Không ghi nhận bệnh lý nội khoa – Chưa từng đau đầu nhiều như vậy – Nội soi mổ nhân xơ 2. Gia đình: – Chưa ghi nhận bất thường
Thăm khám ngày 22/04/2014 (Ngày thứ 3 của bệnh). M: 80lần/phút HA: 120/80 mmHg T: 37,5 0 NT: 16 lần/phút – Thể trung bình. – Da niêm hồng, không xuất huyết. – Mắt phải phù nề, sưng to, sụp mi mắt phải, sung huyết kết mạc. Không thấy âm thổi vùng mắt phải. Các cơ quan khác chưa ghi nhận bất thường.
Thần kinh: Liệt dây III: Sụp mi mắt (P), lé ngoài, đồng tử dãn 4,5mm. PXAS trực tiếp mất, PXAS đồng cảm còn. Liệt IV: bệnh nhân không đưa mắt xuống dưới vào trong, không đưa được lên trên. Liệt V2: Cảm giác tê bì vùng mặt như kiến bò theo chi phối V2. PX giác mạc còn Các chức năng tk khác bình thường
Bn nữ, 45 tuổi – nhập viện vì: Đau đầu, bệnh xảy ra cấp tính. Khám: Sưng, đau, sung huyết mắt phải. Liệt III, IV, V2. Vấn đề:
1. Nguyên nhân nghĩ đến nhiều nhất ? Hội chứng xoang hang (P), nguyên nhân huyết khối xoang hang. Phân biệt với u ( u di căn, u tuyến yên…). hay viêm nhiễm (H/c Tolosa-Hunt, viêm nhiễm khác…).
2. Kế hoạch để giải quyết vấn đề ?
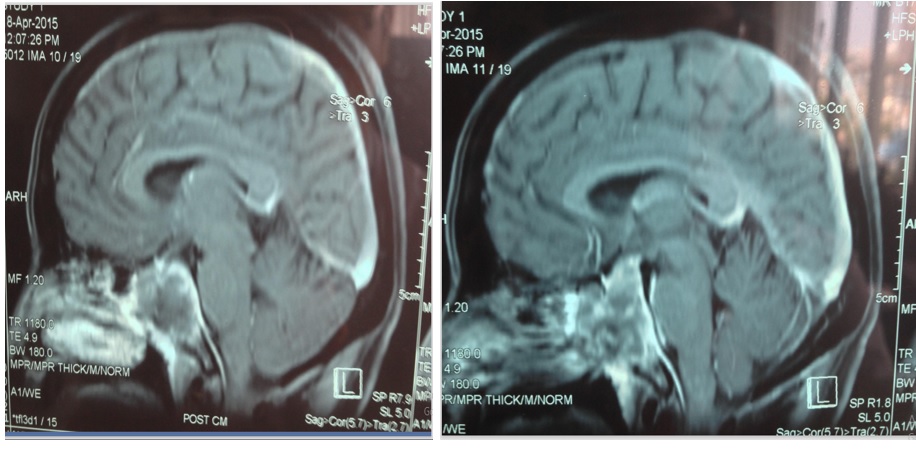
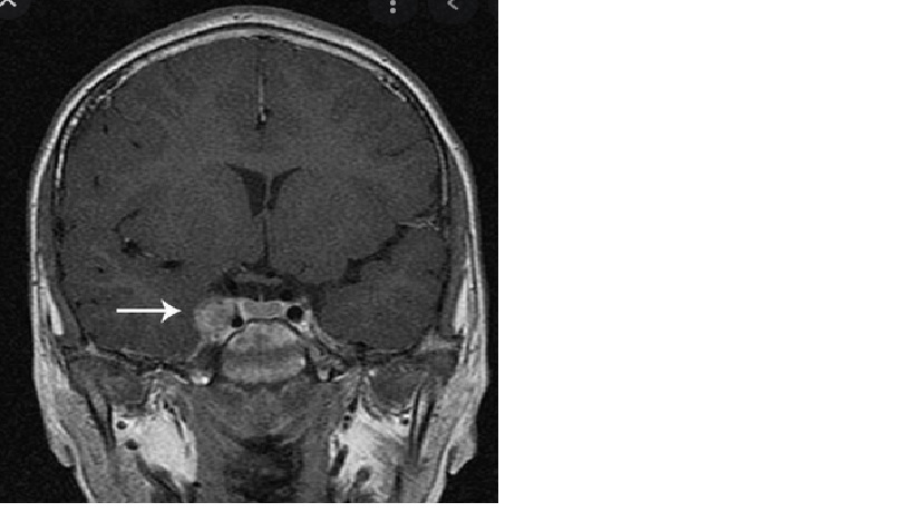
BN được chụp MRI xoang hang


TỔNG QUAN HỘI CHỨNG XOANG HANG
Giới thiệu
Hội chứng xoang hang đề cập đến một nhóm dấu hiệu và triệu chứng liên quan đến bệnh lý bên trong hoặc lân cận xoang hang. Lâm sàng bệnh nhân có nhiều bệnh lý dây thần kinh sọ kết hợp một bên:
- Liệt vận nhãn (dây thần kinh sọ III, IV hoặc VI), biểu hiện phổ biến nhất là nhìn đôi
- Mất cảm giác mặt (dây thần kinh sọ V1 và V2)
- Hội chứng Horner (tổn thương sợi giao cảm nhãn cầu)
Đau có thể xảy ra, đặc biệt là với các quá trình viêm nhiễm.
Các triệu chứng khác có thể có nguồn gốc mạch máu:
- Phồng rộp kết mạc (chemosis): là một dấu hiệu của kích thích mắt. Bề mặt bên ngoài của mắt (kết mạc) trông giống như một vết phồng rộp lớn (big blister), như có chất lỏng trong đó. Khi nghiêm trọng, mô sưng lên BN không thể nhắm mắt
Chemosis of conjuntive
Giải phẫu
Hiểu biết về lâm sàng của hội chứng xoang hang (CSS) đòi hỏi phải nắm vững về giải phẫu học. Xoang hang (CS) không phải là một đám rối tĩnh mạch (venous plexus), là một xoang tĩnh mạch màng cứng thực sự (dural venous sinus). Nó được bao quanh bởi xương thái dương của hộp sọ và xương bướm và nằm về phía bên của hố yên (sella turcica). Các tường dưới và bên và mái của CS là phần mở rộng của màng cứng(dura mater). Có thể có hoặc không có một lớp collagen mỏng ở vách trung gian. CS chứa đầy máu có động mạch cảnh trong (siphon cảnh) được bao quanh bởi các sợi giao cảm, cũng như các dây thần kinh sọ não. Đặc biệt, dây III (oculomotor nerve), IV (trochlear nerve), 2 nhánh của dây V (trigeminal nerve): V1 (ophthalmic) và V2 (maxillary), tất cả đều đi qua CS. Hội chứng xoang hang là bất kỳ quá trình bệnh lý nào liên quan đến CS.
Mặt cắt coronal xoang hang và cấu trúc giải phẫu liên hệ

Các xoang màng cứng và các tĩnh mạch não và tĩnh mạch nối trong và ngoài sọ (emissary veins ) không có van, cho phép máu chảy theo một trong hai hướng (xuôi dòng hoặc ngược dòng) tùy theo độ dốc áp lực tĩnh mạch trong hệ thống mạch máu. Thực tế này và các kết nối mạch máu trực tiếp và gián tiếp rộng rãi vị trí trung tâm của các xoang hang làm cho chúng dễ bị tổn thương bởi bệnh lý tại nhiều vị trí. Mỗi xoang hang nhận được sự dẫn lưu tĩnh mạch từ một số cấu trúc bên trong mặt và mắt. Các tĩnh mạch mắt trên và dưới dẫn lưu phía trước vào xoang. Các tĩnh mạch não giữa nông, các tĩnh mạch não sâu (qua xoang sphenoparietal), và các tĩnh mạch não dưới cũng đổ vào xoang hang. Ở phía dưới, xoang hang dẫn lưu đến đám rối cánh (pterygoid plexus) và ở phía sau, nó thông với các xoang đá trên và dưới. Cả hai hệ thống dẫn lưu cuối cùng đều hội tụ tại tĩnh mạch cảnh trong
Emissary vein: (các tĩnh mạch nối hệ thống tĩnh mạch ngoại sọ với các xoang tĩnh mạch nội sọ). Chúng kết nối các tĩnh mạch bên ngoài hộp sọ với các xoang tĩnh mạch bên trong hộp sọ. Chúng chảy từ da đầu, qua hộp sọ, vào các tĩnh mạch màng não lớn hơn và các xoang tĩnh mạch màng cứng. Các tĩnh mạch này có một vai trò quan trọng trong việc làm mát đầu có chọn lọc. Chúng cũng là các tuyến đường mà nhiễm trùng được đưa vào khoang sọ từ các tĩnh mạch ngoài sọ đến các tĩnh mạch trong sọ
Lâm sàng
Cơ chế bệnh sinh đặc trưng của CSS là do chèn ép và rối loạn chức năng của các cấu trúc trong xoang hang. Xoang hang có một không gian cố định được giới hạn bởi các cấu trúc xương nên bất kỳ bệnh lý nào bên trong xoang đều có khả năng chèn ép các cấu trúc bên trong, gây liệt vận nhãn và thay đổi cảm giác ở mặt. Ngoài ra, do đám rối giao cảm di chuyển trên ICA và dây VI, tổn thương có thể gây hội chứng Horner. Sự kết hợp của liệt dây VI và hội chứng Horner một bên trong tổn thương khu trú xoang hang (dấu hiệu Parkinson). Các triệu chứng lâm sàng phổ biến của CSS :
Liệt vận nhãn toàn bộ / một phần
Liệt dây III – liệt một phần hoặc toàn bộ (partial or total loss of elevation, depression and adduction of ipsilateral eye)
Liệt dây IV – liệt một phần hoặc toàn bộ khả năng nhìn xuống và giang ngoài mắt cùng bên (partial or total loss of abduction and depression of ipsilateral eye)
Liệt dây VI – liệt một phần hoặc toàn bộ giang ngoài của mắt cùng bên (partial or total loss of abduction of ipsilateral eye)
Mất cảm giác ở mặt
Dây V1 – mất cảm giác một phần hoặc toàn bộ trong phân bố nhánh mắt, (loss – partial or total loss of sensation in ophthalmic distribution)
Dây V2 – mất cảm giác một phần hoặc toàn bộ ở phân bố nhánh hàm trên, (loss – partial or total loss of sensation in maxillary distribution)
Hội chứng Horner – mất trương lực giao cảm do tổn thương đám rối giao cảm, (loss of sympathetic tone due to damage of sympathetic plexus)
Proptosis và chemosis – do tăng áp lực trong xoang hang
Sốt, nhịp tim nhanh, hạ huyết áp, rét run, cứng gáy, trạng thái tâm thần thay đổi có thể có. Điều quan trọng cần lưu ý là CSS không phải lúc nào cũng bao gồm tất cả những triệu chứng này, CSS có thể xuất hiện với bất kỳ sự kết hợp nào.
Chẩn đoán
Chẩn đoán CSS ban đầu được dựa trên cơ sở lâm sàng. Tuy nhiên, cần phải có cận lâm sàng để xác định nguyên nhân cơ bản của CSS. Hình ảnh đầu và hốc mắt và các xét nghiệm đóng một vai trò quan trọng trong chẩn đoán.
Bệnh sử của bệnh nhân phải tương quan về mặt lâm sàng với các kết quả thăm khám và các xét nghiệm thích hợp chẩn đoán. Các xét nghiệm máu, chẳng hạn như công thức máu toàn bộ (CBC) và cấy máu, có thể được sử dụng để đánh giá tình trạng nhiễm trùng. Các xét nghiệm huyết thanh, chẳng hạn như tốc độ lắng hồng cầu (ESR), protein phản ứng C (CRP), men chuyển angiotensin (ACE) và kháng thể kháng tế bào chất tế bào trung tính (ANCA) được khuyến cáo để đánh giá quá trình viêm nhiễm. Chụp cộng hưởng từ (MRI) não và hốc mắt có cản quang và chụp cộng hưởng từ tĩnh mạch (MRV) được ưu tiên để xác định sự hiện diện của khối u, chấn thương, viêm hoặc CST. Hình ảnh chụp cắt lớp vi tính (CT) não và hốc mắt hoặc chụp cắt lớp vi tính tĩnh mạch (CTV) có thể giúp đánh giá sự hiện diện của chấn thương hoặc bệnh lý mạch máu.
Nguyên nhân
CSS gây ra bởi bất kỳ bệnh lý hoặc tổn thương nào hiện diện trong xoang hang làm gián đoạn chức năng của các cấu trúc giải phẫu khác. Nguyên nhân phổ biến nhất của CSS là hiệu ứng khối từ khối u. Các nguyên nhân phổ biến khác của CSS bao gồm chấn thương và viêm nhiễm. Nguyên nhân ít phổ biến hơn là căn nguyên mạch máu và nhiễm trùng.
Nguyên nhân nhiễm trùng quan trọng của CSS bao gồm huyết khối xoang hang (CST), BN có thể thăm khám đầu tiên với bác sĩ nhãn khoa và cần được xử trí khẩn cấp do tiên lượng đe dọa tính mạng. CST thường được coi là một biến chứng của nhiễm trùng mặt, như viêm xoang hoặc viêm mô tế bào. Do tính chất không có van của các xoang màng cứng mặt, các xoang dễ bị ứ đọng và dẫn lưu kém trong trường hợp nhiễm trùng nặng, hình thành huyết khối. Sau đó, cục huyết khối có thể gây tổn thương cục bộ hoặc di chuyển đến não, gây ra các triệu chứng giống như đột quỵ hoặc viêm não và viêm màng não.
Khối u xoang hang (Cavernous Sinus Tumors)
Các khối u là nguyên nhân thường gặp nhất của CSS, có thể nguyên phát hoặc di căn, bao gồm meningiomas, schwannomas của dây III, IV, V1 / V2 (phổ biến nhất) hoặc VI, haemangiomas, haemangiopericytomas, và di căn từ phổi, vú hoặc tuyến tiền liệt. Các khối u cũng có thể phát sinh từ khối u tuyến yên hoặc do lan rộng tại chỗ, chẳng hạn như nasopharyngeal carcinoma (nhiều ở Đông Nam Á).
Bệnh lý mạch máu xoang hang (Cavernous sinus vascular pathologies)
Bệnh lý mạch máu trong CS bao gồm lỗ rò động mạch cảnh-hang (carotid-cavernous fistulas, CCF), phình động mạch cảnh-hang (carotid-cavernous aneurysms, CCAs) và huyết khối xoang hang (cavernous sinus thrombosis , CST)
CCA không có nguy cơ chính gây xuất huyết dưới nhện. CCFs có thể phát sinh tự phát hoặc do các nguyên nhân thứ phát như chấn thương, CCA và huyết khối tĩnh mạch.
CCFs có thể được phân loại là CCF gián tiếp, dòng chảy thấp hoặc CCFs màng cứng (an indirect communication between the cavernous sinus and branches of the internal or external carotid artery within the adjacent dura). Chúng cũng có thể được phân loại là CCF trực tiếp hoặc dòng chảy cao CCFs (a direct connection between the intracavernous carotid artery and the cavernous sinus)
CST nguyên nhân vô trùng hoặc nhiễm trùng. Nhiễm trùng có thể lây lan từ mụn nhọt ở mũi (50%), xoang sàng hoặc xoang bướm, (30%) cũng như nhiễm trùng răng miệng (10%). Nguyên nhân vô trùng thường xảy ra sau phẫu thuật hoặc chấn thương. Vi trùng gây bệnh phổ biến nhất là Staphylococcus aureus, tiếp theo là Streptococcus. Huyết khối xoang hang là một biến chứng hiếm gặp nhưng nghiêm trọng của nhiễm trùng xoang hang
Nhiễm trùng
Nguồn lây nhiễm vi khuẩn đã được giải thích ở trên. Bệnh nhân nhiễm lao cũng được báo cáo. Nhiễm nấm là nguyên nhân phổ biến thứ hai của CSS ở miền Bắc Ấn Độ. Trong số 18 trường hợp nhiễm nấm, Aspergillosis chiếm 44,4%, mucormycosis chiếm 22,2%, và các bệnh nhiễm nấm khác chiếm 33,3%.
Viêm nhiễm (Inflammation)
Viêm nhiễm không rõ nguyên nhân gây hội chứng Tolosa-Hunt. Viêm gây ra sưng phù, tăng áp lực và sau đó là rối loạn chức năng các cấu trúc, đặc biệt là dây sọ. Bệnh u hạt Sarcoid hoặc Wegener (Sarcoid or Wegener granulomatosis ), Herpes zoster cũng có thể gây hội chứng xoang hang.
Bẩm sinh/phát triển (congenital/developmental): epidermoid cyst, dermoid cyst
Chấn thương
Các nguyên nhân thường gặp
Điều trị
Điều trị CSS phụ thuộc vào nguyên nhân, phổ biến nhất của CSS là khối u, nhưng do sự thay đổi bệnh lý khối u, việc điều trị có thể khác nhau. Phẫu thuật và / hoặc xạ trị là những lựa chọn điều trị khối u. Các trường hợp chấn thương có thể tự khỏi hoặc phẫu thuật giải ép hốc mắt các tổn thương nặng và các trường hợp bị phù nề đáng kể. Để điều trị bệnh lý viêm nhiễm, việc sử dụng liệu pháp glucocorticoid toàn thân thường có hiệu quả. Các nguyên nhân mạch máu như lỗ rò và phình động mạch thường có thể áp dụng các thủ thuật X quang can thiệp như tắc mạch bằng bóng hoặc coil (balloon or coil embolization). Bệnh nhân có nguyên nhân nhiễm trùng điều trị theo hướng dẫn kháng sinh đồ.
Các nguyên nhân như CST có thể nguy hiểm đến tính mạng phải được chẩn đoán và xử trí khẩn cấp. Thuốc kháng sinh tiêm tĩnh mạch phải được bắt đầu ngay lập tức để điều trị nhiễm trùng. Mặc dù còn nhiều tranh cãi, nên dùng kháng đông. Tư vấn BS tai mũi họng đánh giá nhu cầu phẫu thuật dẫn lưu nhiễm trùng nguyên phát.
Tiếp cận bệnh nhân có hội chứng xoang hang (CSS)
S (Subjective), Triệu chứng chủ quan
Bệnh nhân có các triệu chứng liên quan đến xoang hang không?
Các triệu chứng kinh điển của liên quan đến xoang hang bao gồm:
• Nhìn đôi
• Tê mặt
• Đau hốc mắt hoặc đau đầu vùng trán
Các triệu chứng đã có trong bao lâu?
Thời gian tiến tiến giúp thiết lập chẩn đoán phân biệt
• Khởi phát đột ngột (vài giây đến vài phút): huyết khối, vỡ túi phình
• Bán cấp tính (vài giờ đến vài ngày): nhiễm trùng
• Tiến triển mãn tính (vài tuần đến vài tháng): khối u, phình động mạch
• Tái phát: tự miễn, viêm
Kiểm tra bất kỳ triệu chứng nào về suy yếu thể lực
Bệnh về nha khoa gần đây kèm theo sốt biểu hiện của nhiễm trùng.
Giảm cân / đổ mồ hôi ban đêm gợi ý ung thư
O (objective), Thăm khám thực thể
Thực hiện khám sức tổng quát
Các dấu hiệu sinh tồn
Khám mặt và tìm các dấu hiệu của mụn nhọt, áp xe, vết thương hở.
Kiểm tra mắt để phát hiện chemosis, proptosis và phù quanh ổ mắt.
Kiểm tra trán và hốc mắt để tìm vết bầm tím, rất gợi ý đến lỗ rò động mạch cảnh trong (ICA).
Kiểm tra cứng gáy và dấu hiệu Kernig.
Thực hiện khám thần kinh
Cẩn thận so sánh kích thước đồng tử và phản xạ ánh sáng của cả hai bên.
Đánh giá cẩn thận vận động ngoài nhãn cầu (extraocular movement). Kiểm tra cảm giác mặt, đặc biệt là sự phân bố V1 và V2 của dây thần kinh sinh ba
Chẩn đoán hình ảnh với các vết cắt mỏng qua xoang hang
CT được chỉ định nếu có tiền sử chấn thương. Nếu không, MRI có / không có tương phản được ưu tiên hơn, cho thấy bất kỳ khối choáng chổ hoặc nhiễm trùng trong các xoang cạnh mũi và hốc mắt.
Chỉ định MRA nếu nghi ngờ có phình mạch và huyết khối. Nó có thể cho thấy dòng chảy giảm hoặc không có trong phần hang của động mạch cảnh (decreased or absent flow in the cavernous portion of carotid artery)
Chụp mạch não thông thường vẫn là tiêu chuẩn vàng cho các tổn thương mạch máu. Chỉ định nếu MRA không kết luận được.
A(assessment), Đánh giá (chẩn đoán)
Xoang hang là một khoảng xoang tĩnh mạch bao gồm màng cứng. Nó nhận máu tĩnh mạch từ các tĩnh mạch mắt trên và dưới và dẩn lưu qua sphenoparietal sinus, superior petrosal sinus, basilar plexus (dẫn lưu đến inferior petrosal sinus), và pterygoid plexus. Các xoang hang bên phải và bên trái được nối với nhau . Vì vậy, một quá trình bệnh có thể lây lan từ bên này sang bên kia và gây ra các triệu chứng hai bên.
Các cấu trúc đi qua xoang hang bao gồm: Động mạch cảnh trong, dây III, dây IV, nhánh mắt và hàm trên dây V (V1 và V2) và dây VI.
Sự tổn thương của dây III, IV và VI gây ra chứng nhìn đôi, tổn thương dây V gây đau và tê mặt. Phình động mạch ICA có thể chèn ép các dây thần kinh sọ lân cận. Khi túi phình bị vỡ, máu động mạch đổ trực tiếp vào hệ tuần hoàn tĩnh mạch ( rò cảnh -hang). Proptosis và chemosis phát triển ngay lập tức.
Hội chứng khe hốc mắt trên (SOF) rất giống với huyết khối xoang hang. Các cấu trúc đi qua SOF bao gồm dây III, IV, VI, nhánh V1 và tĩnh mạch mắt trên. Chẩn đoán phân biệt chấn thương phổ biến hơn trong SOF
Căn nguyên của hội chứng xoang hang: (1) Khối u: u màng não có thể phát sinh từ mô màng cứng. U sợi thần kinh có thể phát sinh từ chính dây thần kinh. U tuyến yên và ung thư biểu mô vòm họng có thể xâm lấn vào xoang hang bằng cách mở rộng cục bộ. Di căn từ phổi và vú cũng có thể xảy ra. (2) Huyết khối: thường do nhiễm trùng ở các xoang hoặc hốc mắt cạnh mũi. Dịch não tủy bình thường trừ khi nhiễm trùng lan đến màng não. Có thể do trạng thái tăng đông. (3) Bệnh viêm nhiễm: Hội chứng Tolosa Hunt: bệnh u hạt vô căn của xoang hang. BN có biểu hiện đau nhức mắt. Chẩn đoán được thực hiện trên lâm sàng với ESR tăng và MRI tìm thấy tăng tín hiệu trong xoang hang. Sarcoidosis: bệnh đặc trưng bởi sự phát triển của các tập hợp nhỏ các tế bào viêm (u hạt) ở bất kỳ bộ phận nào của cơ thể – phổ biến nhất là phổi và các hạch bạch huyết. Nhưng nó cũng có thể ảnh hưởng đến mắt, da, tim và các cơ quan khác. (4) Phình động mạch cảnh và lỗ rò. (5) Chấn thương
P(planning), Kế hoạch (Điều trị)
Điều trị nguyên nhân cơ bản
Trong trường hợp có khối u, bắt đầu điều trị bằng steroid và tư vấn phẫu thuật thần kinh.
Nếu phình động mạch và lỗ rò, phương pháp điều trị ưu tiên là chụp X quang can thiệp đặt coil, bóng hoặc keo làm tắc lòng mạch(coils, balloon, or glues to occlude the lumen).
Trường hợp huyết khối, đưa bệnh nhân đến bệnh viện và bắt đầu dùng heparin. Nguyên nhân của huyết khối sẽ cần được xác định. Nhiễm trùng, bắt đầu điều trị bằng kháng sinh thích hợp. Ở những bệnh nhân có bằng chứng về mụn nhọt, vi trùng có nhiều khả năng là Staphylococcus aureus. Ở bệnh nhân tiểu đường hoặc suy giảm miễn dịch, loại trừ nấm và các nhiễm trùng cơ hội.
Bệnh viêm nhiễm như Tolosa-Hunt hoặc bệnh giả u hốc mắt, điều trị bằng prednisone 1 mg / kg / ngày. Thời gian điều trị thay đổi theo BN. Nếu các triệu chứng không cải thiện sau 2 ngày, có thể cần sinh thiết để loại trừ các nguyên nhân khác.
Minh họa một số hình ảnh hội chứng xoang hang
Giải phẫu xoang hang




Cấu trúc xoang hang
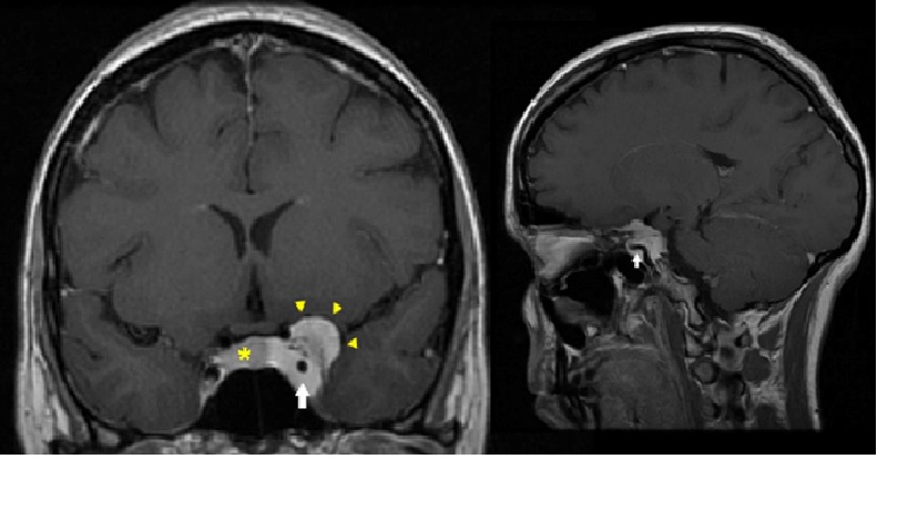
Khối u xoang hang

MRI T1W sau cản quang, coronal (left) và sagittal (right, scaled down). Lưu ý sự tăng cường đồng nhất của khối u chiếm và nhô ra qua thành bên của xoang hang trái. Đầu mũi tên màu vàng cho thấy một phần nhỏ ngoài hang. Động mạch cảnh trong bị hẹp và di lệch được bao bọc (mũi tên trắng). Tuyến yên bị đẩy sang phải (dấu sao vàng).
Hội chứng Tolosa Hunt
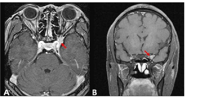
Dò xoang hang

Huyết khối xoang hang

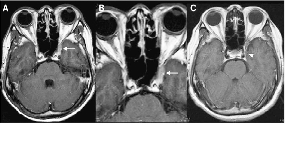
Cavernous sinus syndrome do sarcoidosis

Hình ảnh Gadolinium-enhanced T1-weighted axial (A) và coronal (B) cho thấy một khối tăng cường liên quan đến xoang hang trái. Hình ảnh Gadolinium-enhanced T1-weighted axial (C) sáu tháng sau khi điều trị bằng steroid
tháng 6/2021
PGS.TS Cao Phi Phong
Đọc thêm
Chẩn đoán và điều trị hội chứng Tolosa Hunt
Hội chứng xoang hang: chẩn đoán lâm sàng và hình ảnh học
Hội chứng xoang hang, khe trên hốc mắt và đỉnh hốc mắt



Tin cùng chuyên mục:
Migraine tiền đình (vestibular migraine)
Migraine ở phụ nữ có thai
Cập nhật chẩn đoán và điều trị chóng mặt tư thế kịch phát lành tính (BPPV)
Nguy cơ xuất huyết não tăng lên khi dùng Aspirin liều thấp trong phòng ngừa nguyên phát