Ca lâm sàng
BN nữ, 46 tuổi, nhập viện ngày 26/02/2021, lý do nhập viện co giật
Cách nhập viện 3 ngày: Bệnh nhân cảm thấy đau đầu, mức độ nhẹ – trung bình, âm ỉ cả ngày, đau nhiều 2 bên đầu, đáp ứng 1 phần với thuốc giảm đau, không tư thế tăng giảm đau, kèm buồn nôn, không nôn ói, không sốt.
Ngày nhập viện, bệnh nhân vẫn đau đầu tính chất tương tự, đến #16 giờ, bệnh nhân đang nằm võng thì có biểu hiện đờ đẫn, nhìn chằm chằm vào cây trước nhà, lẩm bẩm lặp đi lặp lại một câu “ không nhìn thấy rõ cái cây”, kèm theo nghe ù tai 2 bên, không ngửi thấy mùi lạ, sau đó khoảng 30 giây, bệnh nhân lên cơn co giật, khởi phát với nghiêng đầu sang phải, giật tay trái(?) sau đó co giật toàn thân, trợn mắt, sùi bọt mép không kèm máu, không tiêu tiểu ra quần, trong cơn không biết gì. Cơn kéo dài khoảng 2-3 phút, sau cơn bệnh nhân tỉnh liền, nhưng không cử động được tay chân trái.
Khoảng 5 phút sau bệnh nhân lên cơn co giật lần 2, không có tiền triệu, tính chất cơn co giật tương tự như lần đầu, nhưng sau khi hết cơn co giật, bệnh nhân không tỉnh, người nhà đưa Bệnh nhân đi cấp cứu Bệnh viện nhân dân 115, trên đường đi bệnh nhân lên thêm 3 cơn co giật toàn thân, không có khoảng tỉnh nhập viện BV nhân dân 115
Tình trạng lúc nhập viện: Bệnh nhân lơ mơ, gọi hỏi không trả lời, không tiếp xúc, tự thở. Mạch 80 l/p; Huyết áp: 140/90 mmHg
Tiền căn: Tăng huyết áp đang điều trị không rõ loại thuốc. Lạc nội mạc tử cung (?).
Đang tránh thai bằng thuốc uống khoảng 3 năm nay đến khi khởi bệnh.
Thăm khám :
BN hợp tác, tiếp xúc tốt.Tổng trạng trung bình, Mạch 80 l/p; Huyết áp: 120/80 mmHg, Nhiệt độ: 37oC; Nhịp thở: 20 l/p. Khám tổng quát và thần kinh không phát hiện bất thường
Tóm tắt
Bệnh nhân nữ, 46 tuổi, nhập viện vì co giật:
+ Khởi phát bán cấp với đau đầu + buồn nôn + nhìn mờ
+ Có những cơn co cứng co giật cục bộ toàn thể hóa, sau cơn có mất ý thức và yếu thoáng qua nữa người trái. Thăm khám sau cơn
+ ý thức cải thiện
+ Yếu ½ người trái hồi phục
Tiền căn
+ Uống thuốc tránh thai kéo dài
BN chụp CT không cản quang
CT: nhồi máu não chuyển dạng xuất huyết vùng thái dương phải
MRI: huyết khối xoang ngang; MRV : Tắc nghẽn xoang ngang phải
Chẩn đoán
Huyết khối xoang ngang phải /Nhồi máu não chuyển dạng xuất huyết thùy thái dương phải.
Tiếp cận bệnh nhân huyết khối tĩnh mạch não
Các bước tiếp cận: SOAP
S (subjective), Triệu chứng chủ quan
Bệnh nhân có triệu chứng huyết khối tĩnh mạch không?
- Biểu hiện phổ biến nhất là đau đầu khởi phát cấp tính hoặc bán cấp tính. Đau đầu thường liên quan đến tăng áp lực nội sọ và thường trở nên tồi tệ hơn khi thực hiện nghiệm pháp Valsalva hoặc nằm thẳng.
- Các triệu chứng khác của tăng áp lực nội sọ (ICP) bao gồm buồn nôn / nôn, thay đổi thị lực như nhìn mờ, thị trường bị che lấp và nhìn đôi
- Bệnh nhân mới chẩn đoán giả u não nên đánh giá để loại trừ huyết khối xoang bên.
- Bệnh nhân có thể có hoặc không có triệu chứng thần kinh khu trú như yếu liệt và tê bì.
- Động kinh
- Lú lẫn
Có bất kỳ yếu tố nguy cơ nào đối với huyết khối tĩnh mạch não không?
- Các yếu tố nguy cơ phổ biến đối với huyết khối tĩnh mạch não bao gồm:
- Mang thai, thời kỳ hậu sản và tiền sử hư thai không rõ nguyên nhân (unexplained abortions)
- Thuốc như thuốc tránh thai, corticosteroid, heparin (giảm tiểu cầu do heparin, heparin-induced thrombocytopenia)
- Tình trạng tăng đông máu, Viêm xoang và tai, Mất nước, Hội chứng thận hư, Bệnh ác tính (malignancy)…
O (objective) Thăm khám thực thể
Đánh giá tình trạng tinh thần
Tình trạng tinh thần có thể từ tỉnh táo đến lơ mơ và hôn mê. Hôn mê do huyết khối tĩnh mạch lớn gây thoát vị và / hoặc chèn ép thân não hoặc bán cầu đại não hai bên.
Kiểm tra các dấu hiệu nhiễm trùng
Thông thường huyết khối tĩnh mạch được kích hoạt bởi nhiễm trùng đồng thời ở đầu và cổ. Tìm bằng chứng về áp xe da đầu, viêm xoang và viêm tai giữa. Kiểm tra cứng cổ, dấu hiệu Brudzinski và Kernig để tìm viêm màng não.
Đánh giá các dây thần kinh sọ
Phù gai thị và liệt CN6 có liên quan đến ICP tăng lên. Sự liên hệ đến CN3, CN5 và CN6 phù hợp với huyết khối xoang hang. Tìm đồng tử giãn, liệt vận nhãn, giảm phản xạ giác mạc và giảm cảm giác mặt (phân bố V1 và V2). Sự liên quan đến CN9, CN10, CN11 và CN12 là gợi ý hội chứng lỗ cảnh (jugular foramen) khi tĩnh mạch cảnh bị huyết khối.
Kiểm tra các dấu hiệu thần kinh khu trú khác
Các dấu hiệu thần kinh khu trú như liệt nửa người, mất cảm giác nửa người và mất ngôn ngữ có thể xảy ra với huyết khối tĩnh mạch vỏ não. Huyết khối xoang tĩnh mạch dọc trên có thể liên quan đến một hoặc cả hai bên thùy trán giữa. Yếu chi dưới một bên hoặc hai bên có thể được tìm thấy.
Chẩn đoán hình ảnh não
CT đầu nên được thực hiện trong cấp cứu để loại trừ xuất huyết và thoát vị não. Tìm:
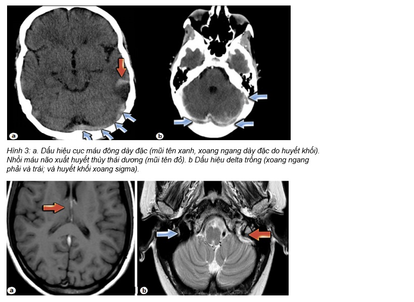
• Dấu hiệu delta trống (Empty delta sign) – dòng chảy trống trong xoang dọc sau do huyết khối xoang dọc trên.
• Dấu hiệu xoắn ốc (Corkscrew sign) – các nhánh tĩnh mạch giống hình dạng “xoắn ốc” sau khi hình thành huyết khối tĩnh mạch. MRI với MRV nên được chỉ định để hình dung mức độ tổn thương nhu mô não và hệ thống dòng chảy tĩnh mạch. Nó nhạy hơn CT scan nhưng không phải là 100%. Chụp mạch máu xóa nền (Digital subtraction angiography, DSA) là tiêu chuẩn vàng trong việc chẩn đoán nhưng không phải trung tâm nào cũng có.
A (assessment) Đánh giá và chẩn đoán
Huyết khối tĩnh mạch não
Chiếm khoảng 2% của tất cả các đột quỵ não, xảy ra ở mọi lứa tuổi. Ba nhóm phổ biến nhất là:
1. Trẻ sơ sinh và trẻ nhỏ: thường do mất nước, suy kiệt (marasmus), viêm màng não, viêm xoang.
2. Phụ nữ trẻ sử dụng thuốc tránh thai, mang thai và sau sinh (đặc biệt là ba tháng cuối thai kỳ)
3. Người cao tuổi: hậu quả của khối u ác tính và mất nước Các vị trí thường gặp nhất của huyết khối tĩnh mạch là xoang tĩnh mạch dọc trên, xoang bên, xoang hang và xoang thẳng. Nhiễm trùng da đầu có xu hướng gây ra huyết khối xoang dọc trên. Nhiễm trùng mặt gây ra huyết khối xoang hang. Viêm tai giữa gây ra huyết khối xoang bên.
P (planning) Kế hoạch điều trị và dự hậu
Ổn định BN
Đặt nội khí quản nếu bệnh nhân không có khả năng bảo vệ đường thở
Giải quyết các vấn đề liên quan đến tăng ICP và thoát vị não.
Bắt đầu heparin
Các nghiên cứu đã cho thấy lợi ích của việc chống đông máu trong huyết khối xoang tĩnh mạch. Điều trị càng sớm càng tốt.
Bắt đầu với liều tải 80 đơn vị / kg và sau đó tiếp tục ở mức 18 đơn vị / kg / giờ. Kiểm tra PTT Q 6 giờ. Mục tiêu PTT là hai lần chứng (PTT goal is two times control). Warfarin sẽ được tiếp tục trong 3 đến 6 tháng
Giải quyết nguyên nhân cơ bản của huyết khối xoang tĩnh mạch
Bắt đầu dùng kháng sinh nếu có bằng chứng nhiễm trùng.
Truyền dịch bằng dung dịch muối thông thường hoặc lactat ringer nếu bị mất nước. Nếu bệnh nhân tăng đông thì chống đông bằng warfarin.
Bắt đầu vật lý trị liệu / vận động trị liệu / phục hồi chức năng giọng nói sau khi bệnh nhân ở trong tình trạng ổn định
Với trị liệu hiện đại, tỷ lệ tử vong do huyết khối tĩnh mạch là khoảng 10%. Bệnh nhân sống sót thường hồi phục chức năng thần kinh tốt
PHỤ LỤC
Tổng quan huyết khối xoang tĩnh mạch não
Tóm tắt
Năm 2017, Hội Đột quỵ Châu Âu đã cập nhật các hướng dẫn trước đó từ Liên đoàn các Hiệp hội Thần kinh Châu Âu. Các khuyến cáo hiện tại bao gồm những điều sau:
- Chụp mạch cộng hưởng từ hoặc cắt lớp vi tính được khuyến cáo để xác định chẩn đoán CSVT(Cerebral Sinus and Venous Thrombosis); Việc tầm soát thường quy CSVT ở bệnh nhân huyết khối hoặc ung thư không được khuyến cáo.
- Dùng kháng đông đường tiêm trong CSVT cấp tính và phẫu thuật giải áp để ngăn ngừa tử vong do thoát vị não.
- Dùng heparin trọng lượng phân tử thấp (low-molecular-weight heparin ) trong giai đoạn cấp tính và không dùng thuốc chống đông máu trực tiếp đường uống (not direct oral anticoagulants).
- Không sử dụng steroid và dùng acetazolamide để giảm tử vong hoặc lệ thuộc.
- Thuốc chống động kinh được khuyến cáo ở những bệnh nhân có cơn động kinh sớm và các tổn thương trên lều để ngăn ngừa các cơn co giật.
- Tránh các biện pháp tránh thai có chứa oestrogen ở những phụ nữ đã bị CSVT trước đó.
- Những lần mang thai tiếp theo là an toàn, nhưng việc sử dụng heparin trọng lượng phân tử thấp dự phòng nên được cân nhắc trong suốt thai kỳ và giai đoạn hậu sản.
Giới thiệu
Huyết khối xoang tĩnh mạch não là một dạng đột quỵ hiếm gặp, làm tăng tỷ lệ tử vong. Nó có thể xuất hiện với vô số triệu chứng, khiến khó phân biệt với các bệnh lý thần kinh khác. Nhận biết sớm các triệu chứng và điều trị giúp cải thiện kết quả chung ở những bệnh nhân này. CSVT yêu cầu kết hợp chặt chẽ cả lâm sàng và chẩn đoán hình ảnh để phát hiện nhanh chóng và tối ưu hóa điều trị bệnh nhân.
Định nghĩa
CSVT là một dạng huyết khối thuyên tắc tĩnh mạch (VTE) hiếm gặp và dựa trên thời gian khởi phát các triệu chứng lâm sàng. Có 3 kiểu phụ:
1. Cấp tính – ≤48 giờ.
2. Bán cấp -> 48 giờ – ≤30 ngày.
3. Mãn tính – ≥1 tháng
Dịch tễ học
Tỷ lệ mắc bệnh CSVT đã tăng lên trong vài năm gần đây do sự tiến bộ của kỹ thuật hình ảnh giúp phát hiện bệnh ở giai đoạn đầu. Mặc dù chẩn đoán giải phẫu tử thi ước tính tỷ lệ mắc bệnh là 3–4 trường hợp trên một triệu dân số, nhưng lâm sàng cho thấy con số này tăng gấp 10 lần. Tỷ lệ mắc bệnh tăng dần được thấy ở trẻ em, thanh niên, phụ nữ trong độ tuổi sinh đẻ và các nước có thu nhập thấp. Tỷ lệ giữa nữ và nam ước tính là 3: 1 và chiếm 0,5–1% tổng số trường hợp đột quỵ xảy ra.
Dạng CSVT phổ biến nhất là dạng bán cấp, chiếm gần một nửa số trường hợp, và dạng mãn tính ít gặp hơn. ISCVT (International Study on Cerebral Vein and Dural Sinus Thrombosis) xác định sự xuất hiện của CSVT ở các vị trí khác nhau – xoang ngang (86%), xoang dọc trên (62%), xoang thẳng (18%), tĩnh mạch vỏ (17%), tĩnh mạch cảnh (jugular veins) (12%), tĩnh mạch Galen và tĩnh mạch não trong (internal cerebral vein) (11%)
Hình 1: Time of-flight MR venogram of the normal majorcerebral veins and venous sinuses
Giải phẫu hệ thống tĩnh mạch não
Hệ thống tĩnh mạch não được chia thành hệ thống tĩnh mạch nông và tĩnh mạch sâu. Chúng là một nhóm các kênh tĩnh mạch nằm trong nội sọ. Không giống như tĩnh mạch hệ thống, tĩnh mạch não không có van và không đi theo khu vực động mạch não. Đặc biệt, xoang dọc trên cũng dẫn lưu dịch não tủy từ khoang dưới nhện
Hệ thống nông bao gồm các xoang màng cứng và các tĩnh mạch vỏ não. Nó dẫn lưu vỏ não và chất trắng nông. Hai xoang màng cứng chính bao gồm xoang dọc trên dẫn lưu vùng lưng bên và xoang hang dẫn lưu vùng trước bụng. Xoang dọc trên dẫn lưu vào xoang ngang sau đó dẫn lưu vào xoang thẳng. Xoang hang dẫn lưu vào xoang ngang sau bên và xoang sigma dưới bên, dọc theo xoang đá trên và dưới tương ứng. Các tĩnh mạch vỏ não nông là các tĩnh mạch dẫn lưu trên và các tĩnh mạch dẫn lưu dưới (tĩnh mạch Labbe và tĩnh mạch sylvian hoặc tĩnh mạch não giữa nông).
Hệ thống sâu bao gồm xoang thẳng, bên và sigmoid, cũng như dẫn lưu các tĩnh mạch vỏ não sâu hơn (tĩnh mạch Galen, tĩnh mạch não trong, tĩnh mạch Rosenthal hoặc tĩnh mạch nền, hành tủy và tĩnh mạch subependymal). Các mạch này dẫn lưu hạch nền, đồi thị, thân não trên và chất trắng não sâu. Cả hệ thống tĩnh mạch nông và tĩnh mạch sâu cuối cùng đều chảy vào tĩnh mạch cảnh trong
Hình 2: hệ thống xoang tĩnh mạch não
Các yếu tố nguy cơ
CSVT là một bệnh đa yếu tố với ít nhất một yếu tố nguy cơ liên quan đến 85% người lớn bị ảnh hưởng. Các yếu tố nguy cơ này thường luôn liên quan đến bộ ba sinh huyết khối của Virchow, bao gồm tổn thương thành mạch, ứ máu (blood stasis ) và tăng đông máu. Tình trạng tăng huyết khối (Prothrombotic conditions) cả di truyền và mắc phải là yếu tố nguy cơ liên quan phổ biến nhất đối với CSVT. Bệnh nhân mắc chứng tăng huyết khối do di truyền có khuynh hướng phát triển bất kỳ dạng huyết khối nào, bao gồm cả CSVT. G20210A prothrombin polymorphism, yếu tố V Leiden, và hội chứng kháng phospholipid là những nguyên nhân thường gặp nhất. Thiếu protein C, S và thiếu antithrombin III là những yếu tố nguy cơ ít gặp hơn.
Một nghiên cứu tiền cứu với 465 phụ nữ cho thấy 65% trường hợp có một số yếu tố nguy cơ như mang thai, thời kỳ hậu sản, sử dụng thuốc viên tránh thai (OCP) và liệu pháp thay thế nội tiết tố liên quan đến CSVT. Các nghiên cứu cũng chỉ ra rằng các yếu tố nguy cơ cụ thể về giới này không áp dụng cho nhóm trẻ em hoặc người cao tuổi. Một phân tích tổng hợp đã chỉ ra rằng những người sử dụng OCP có nguy cơ phát triển CSVT cao hơn 6 lần so với những người không sử dụng. Nghiên cứu tương tự cũng kết luận tăng nguy cơ CSVT ở bệnh nhân G20210A prothrombin polymorphism, thiếu hụt yếu tố V Leiden và hyperhomocysteinemia. Các nghiên cứu cũng cho thấy sự gia tăng nguy cơ CSVT ở những người dùng OCP thừa cân hoặc béo phì và là người mang bệnh huyết khối di truyền (hereditary thrombophilia)
Nhiễm trùng vùng đầu và cổ là nguyên nhân phổ biến nhất của CSVT. Ung thư nội sọ có thể dẫn đến CSVT do chèn ép cục bộ hoặc khối u xâm lấn vào xoang .
Bảng 1: Yếu tố nguy cơ
Sinh lý bệnh
Các cơ chế sinh lý bệnh của CVT chưa được hiểu đầy đủ và là một sự kết hợp phức tạp của những thay đổi về huyết động và nhu mô não . Kiến thức hiện tại về sinh lý bệnh của CVT dựa trên các nghiên cứu mô hình động vật có sẵn. Biểu hiện lâm sàng của CVT có thể được giải thích bằng 2 cơ chế bệnh lý – huyết khối tĩnh mạch não và huyết khối xoang tĩnh mạch não
Các nghiên cứu trên mô hình động vật đã chỉ ra rằng huyết khối xoang dẫn đến tắc xoang và dòng máu chảy ngược vào các tĩnh mạch và mao mạch, dẫn đến tăng áp lực cục bộ, cuối cùng dẫn đến phù não lớn.
Thông nối phạm vi rộng được tìm thấy trong hệ thống tĩnh mạch não thường cho phép phát triển tuần hoàn bàng hệ nếu có tắc nghẽn dòng chảy tĩnh mạch. Tắc tĩnh mạch vỏ có thể làm tăng áp lực mạch nhỏ, tùy thuộc vào mức độ huyết khối và sự có sẵn của bàng hệ . Điều này có thể dẫn đến phá vỡ hàng rào máu não, rò rỉ các thành phần máu vào khoảng kẽ gây phù nề mạch máu và tổn thương mô.
Giảm dẫn lưu dịch não tủy do tắc xoang có thể do rối loạn chức năng của các hạt màng nhện, gây tăng áp lực nội sọ. Áp suất tăng liên tục dẫn đến tăng áp lực mao mạch, phù não và xuất huyết tĩnh mạch . Điều này tiếp tục dẫn đến giảm áp lực tưới máu não và suy giảm chuyển hóa, sau đó là phù nội bào và phù độc tế bào(intracellular edema and cytotoxic edema).
Bảng 2: Sinh lý bệnh CVT
Lâm sàng
Biểu hiện lâm sàng của CVT thường thay đổi và bệnh nhân có thể biểu hiện với một loạt các triệu chứng tùy thuộc vào vị trí và mức độ huyết khối, tuổi của bệnh nhân và các yếu tố căn nguyên cơ bản. Biểu hiện phổ biến nhất bao gồm các dấu hiệu tăng áp lực nội sọ như nhức đầu, giảm thị lực và phù gai thị, thiếu hụt thần kinh khu trú, co giật và bệnh não lan tỏa. Các biểu hiện không phổ biến khác bao gồm xuất huyết dưới nhện, đau đầu sấm sét, cơn thiếu máu cục bộ thoáng qua tái phát, ù tai, đau đầu và liệt nhiều dây thần kinh sọ trong bối cảnh huyết khối xoang hang.
Đau đầu
Đau đầu là một trong những biểu hiện phổ biến nhất và gặp ở hơn 80% bệnh nhân CSVT. Bệnh nhân bị đau đầu thường biểu hiện riêng lẻ hoặc kết hợp với các dấu hiệu và triệu chứng khác như nôn ói, phù gai thị, khiếm khuyết thị giác, giảm thị lực, ù tai, cũng như liệt dây thần kinh. Giảm thị lực và phù gai thị thường thấy ở những bệnh nhân khởi phát mãn tính . Các nghiên cứu cho thấy bệnh nhân CVT có thể biểu hiện đau đầu riêng lẻ mà không có bất kỳ bằng chứng nào về tăng áp lực nội sọ và thường thấy ở những bệnh nhân đi khám sớm. Nhức đầu do tăng áp lực nội sọ có thể xảy ra do huyết khối xoang tĩnh mạch lớn như xoang dọc trên. Những bệnh nhân này có biểu hiện đau đầu đột ngột, dữ dội, toàn thân và tiến triển nặng hơn với Valsalva, kéo căng và nằm xuống. Một số cá nhân có thể phát triển một dạng bùng nổ đột ngột, nghiêm trọng, được gọi là nhức đầu sấm sét, giống như xuất huyết dưới nhện. Với sự tham gia của xoang bên, bệnh nhân có thể bị tăng áp lực nội sọ và các triệu chứng tương tự viêm tai giữa như sốt, chảy mủ tai, nhức đầu và đau vùng xương chũm.
Dấu thần kinh khu trú
Thiếu hụt phổ biến nhất là yếu vận động gặp ở dạng liệt một chân, liệt nửa người hoặc hai bên ở những bệnh nhân bị huyết khối hệ thống tĩnh mạch sâu. Mặc dù liên quan đến vận động là phổ biến, những bệnh nhân này hiếm khi bị khiếm khuyết về thị giác hoặc cảm giác. Huyết khối của xoang hang thường liên quan đến nhiễm trùng và ảnh hưởng đến các cử động của mắt do sự tham gia của các dây thần kinh vận nhãn, giang ngoài và / hoặc dây thần kinh ròng rọc. BN biểu hiện với nhức đầu, đau mắt, lồi mắt (proptosis), chemosis, phù quanh ổ mắt và liệt vận động mắt
Co giật
Co giật là biểu hiện thường gặp ở bệnh nhân CSVT, đặc biệt là trong giai đoạn cấp tính của bệnh . Nó phổ biến hơn ở những bệnh nhân có tổn thương xuất huyết trên lều, huyết khối xoang dọc trên hoặc tĩnh mạch vỏ và ở những bệnh nhân có thiếu hụt thần kinh khu trú. Một nghiên cứu tiền cứu trên 194 bệnh nhân bị CVT cấp tính cho thấy co giật có triệu chứng sớm ở 44,3% bệnh nhân và trạng thái động kinh ở 12,8% bệnh nhân. Họ cũng phát hiện ra một tỷ lệ cao mắc chứng Todd’s paresis liên quan đến động kinh.
Bệnh não lan tỏa
Đây là một biểu hiện nghiêm trọng hơn của CSVT và những BN ảnh hưởng hệ thống tĩnh mạch sâu có thể bị bệnh não lan tỏa dẫn đến thay đổi ý thức, thay đổi trạng thái tâm thần, mê sảng, thờ ơ hoặc các triệu chứng rối loạn thực hiện. Những bệnh nhân này cũng có thể bị thiếu hụt hai bên hoặc đa ổ hoặc hiện diện co giật. Bệnh não là một bệnh thường xảy ra ở người cao tuổi
ISCVT tóm tắt sự xuất hiện của các biểu hiện lâm sàng – đau đầu nặng dần (triệu chứng phổ biến nhất – 88,8%), co giật (39,3%), liệt (37,2%), phù gai thị (28,3%), thay đổi trạng thái tâm thần (22%), mất ngôn ngữ (19,1%) ), sững sờ hoặc hôn mê (13,9%), nhìn đôi (13,5%), và khiếm khuyết thị giác (13,2%). Sự liên quan đến xoang ngang trái có thể xuất hiện kèm theo chứng mất ngôn ngữ và liên quan đến xoang dọc có thể dẫn đến thiếu hụt vận động một bên hoặc hai bên và động kinh khu trú hoặc toàn thể . Huyết khối tĩnh mạch vỏ đơn độc có biểu hiện đau đầu, co giật và thiếu hụt thần kinh khu trú . Huyết khối hệ thống tĩnh mạch sâu dẫn đến tổn thương đồi thị hai bên, trung tâm, biểu hiện với các biểu hiện hành vi như mất trí nhớ, mê sảng và mutism. Thoát vị não có thể là hậu quả của chèn ép não hoặc thân não do nhồi máu hoặc xuất huyết lớn một bên. Hôn mê có thể xảy ra do sự liên quan của thân não, đồi thị hoặc do co giật toàn thân
Chẩn đoán
Các biểu hiện lâm sàng đa dạng gây khó khăn cho việc chẩn đoán CSVT. Chỉ số nghi ngờ cao và sự nhạy bén về mặt lâm sàng thích hợp là điều cần thiết để phát hiện các cá nhân bị ảnh hưởng.
Xét nghiệm
Bệnh nhân CSVT nên được thực hiện một bảng xét nghiệm, bao gồm công thức máu đầy đủ, sinh hóa toàn diện và đông máu. Các xét nghiệm này giúp xác định các yếu tố nguy cơ căn nguyên liên quan của CVT. Chọc dò thắt lưng (LP) có thể được thực hiện để loại trừ các nguyên nhân khác như nhiễm trùng nội sọ
Hình ảnh thần kinh
Hình ảnh thần kinh là tiêu chuẩn vàng và cuối cùng được yêu cầu để chẩn đoán và xác định vị trí của CVT. Hình ảnh hệ thống tĩnh mạch não được khuyến cáo ở những bệnh nhân bị xuất huyết vỏ não không rõ nguồn gốc hoặc bị nhồi máu ở nhiều khu vực động mạch bởi Hiệp hội Tim mạch Hoa Kỳ (AHA) và Hiệp hội Đột quỵ Hoa Kỳ (ASA)
Chụp cắt lớp vi tính
Hình ảnh chẩn đoán ban đầu được khuyến cáo là chụp cắt lớp vi tính (CT) không cản quang cho tất cả bệnh nhân có biểu hiện của các triệu chứng thần kinh cấp tính như nhức đầu, thiếu hụt thần kinh khu trú, thay đổi trạng thái tâm thần và co giật. Trong khoảng 30% trường hợp, CT có thể bình thường hoặc cho thấy những bất thường không đặc hiệu; do đó, chụp cắt lớp thông thường không loại trừ được CSVT. CT không cản quang cho thấy các dấu hiệu trực tiếp như dấu hiệu cục máu đông dày đặc (dense clot sign ) (cục máu đông trong tĩnh mạch não và xoang) và dấu hiệu chuỗi hoặc dây (string or cord sign ) (string or cord-like density indicating CSVT); cũng như các dấu hiệu gián tiếp như phù não, hiệu ứng khối, và xuất huyết nội sọ có thể từ các tổn thương nhỏ cận vỏ (juxtacortical ) đến xuất huyết dưới nhện và các ổ xuất huyết lớn. CT tăng cường chất cản quang cho thấy các dấu hiệu trực tiếp như dấu hiệu delta trống(empty delta sign ) (a low-attenuated center surrounded by a triangular area of contrast enhancement) và các dấu hiệu gián tiếp, tương tự như CT không cản quang

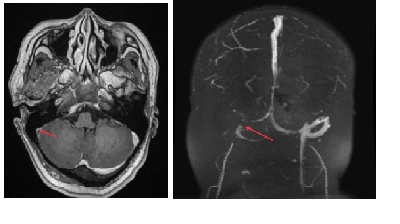
Hình 4: Time-dependent appearance of thrombus on different sequences of MRI brain. a T1-weighted images: red arrow, hyperintense signal due to thrombosis. b T2-weighted image: blue arrow, normal flow in right sigmoid sinus and jugular vein; red arrow, hyperintense signal due to thrombosis.
CT Venography
Tăng cường tĩnh mạch (Venous enhancement ) sau chụp CT giúp đánh giá các khiếm khuyết lấp đầy trong các xoang và tĩnh mạch vỏ não, tăng dẫn lưu tĩnh mạch bàng hệ, cũng như tăng cường thành xoang ở những bệnh nhân này . Chụp cắt lớp vi tính CT (CTV) có độ nhạy khoảng 95% và có thể hữu ích cho những bệnh nhân có biểu hiện bán cấp hoặc mãn tính. Các nghiên cứu ủng hộ việc sử dụng CTV để chẩn đoán huyết khối xoang não và cho thấy nó ít có giá trị chẩn đoán huyết khối tĩnh mạch vỏ hơn . CTV là một lựa chọn nhanh chóng và đáng tin cậy, đặc biệt là ở những bệnh nhân có chống chỉ định thực hiện MRI.
MRI và Magnetic Resonance Venogram
MRI có cản quang và cộng hưởng từ tĩnh mạch (MRV) là phương thức chẩn đoán ưu tiên nhất cho CSVT, và sự xuất hiện của huyết khối trên các chuỗi MRI khác nhau phụ thuộc vào thời gian(appearance of thrombus on different MRI sequences are time dependent).
Trong vòng 5 ngày, nó xuất hiện isointense trên T1 và hypointense trên T2. Trong 6–15 ngày, huyết khối xuất hiện hyperintense trên cả hai chuỗi T1 và T2. Sau 15 ngày, chúng xuất hiện isointense trên các chuỗi T1 và iso- or hyperintense trên các chuỗi T2. Bốn tháng sau, không có bất thường nào trên T1 và các bất thường tinh tế trên chuỗi T2 có thể được phát hiện.
MRI xuất hiện ở dạng cấp tính xảy ra do lượng deoxyhemoglobin trong huyết khối tăng lên, và những thay đổi thấy ở dạng bán cấp là do nồng độ methemoglobin tăng lên. Sự vắng mặt của những thay đổi trong chuỗi tín hiệu T1 và mô hình dòng chảy bình thường (normal flow pattern ) trên chuỗi T2 làm cho chẩn đoán đặc biệt khó khăn ở dạng cấp tính của bệnh
Digital Subtraction Angiography
Chụp động mạch não được coi là thủ thuật chẩn đoán chính được sử dụng để chẩn đoán các bất thường tĩnh mạch nội sọ nhưng đã được thay thế rất tốt bởi CTV và MRV. Nó được thực hiện khi các phương thức hình ảnh khác không thể kết luận hoặc không khả thi. Chụp mạch có thể khó giải thích khi có các biến thể giải phẫu như nhân đôi xoang dọc trên, giảm sản phần trước của xoang dọc trên, và giảm sản hoặc bất sản của xoang ngang. Các phát hiện thông thường bao gồm khiếm khuyết lấp đầy một phần hoặc hoàn toàn trong các xoang hoặc tĩnh mạch, chậm làm rỗng và giãn tuần hoàn bàng hệ
Điều trị
Điều trị chống đông máu
Điều trị chống đông máu được chỉ định ở bệnh nhân CSVT để thúc đẩy quá trình phân giải cục máu đông và ngăn ngừa sự mở rộng cục máu đông. Các nghiên cứu nhỏ so sánh tính an toàn và hiệu quả của thuốc chống đông máu với giả dược đã cho thấy xu hướng thuận lợi về mặt lâm sàng đối với việc sử dụng thuốc chống đông máu ở bệnh nhân CSVT. Một phân tích tổng hợp được thực hiện với các nghiên cứu này cho thấy giảm tỷ lệ kết cục kém ở bệnh nhân CVT được điều trị bằng heparin không phân đoạn hoặc heparin trọng lượng phân tử thấp (LMWH). Thời gian dùng kháng đông cũng như việc sử dụng thuốc chống đông uống trực tiếp vẫn còn là một chủ đề gây tranh cãi vì chưa có thử nghiệm đối chứng ngẫu nhiên quy mô lớn. Hướng dẫn của Tổ chức Đột quỵ Châu Âu năm 2017 về chẩn đoán và điều trị CSVT, được xác nhận bởi Học viện Thần kinh Châu Âu, khuyến cáo những điều sau đây đối với liệu pháp chống đông máu trong CSVT:
- Liều điều trị của heparin cho tất cả bệnh nhân bị CVT cấp tính, ngay cả khi có xuất huyết trong não.
- LMWH trên heparin không phân đoạn ngoại trừ những bệnh nhân bị dị ứng với LMWH hoặc nếu cần phải đảo ngược tác dụng chống đông máu nhanh.
Các hướng dẫn của AHA / ASA khuyến nghị chống đông từ 3–6 tháng trong CSVT có nguyên nhân (provoked ), 6–12 tháng trong CSVT không nguyên nhân (unprovoked) và có khả năng suốt đời trong CSVT tái phát, VTE sau CSVT, hoặc CSVT liên quan đến bệnh huyết khối nặng với tỷ lệ chuẩn hóa quốc tế (INR) mục tiêu là 2– 3
Tiêu huyết khối (Thrombolysis)
Bệnh nhân CSVT có kết quả lâm sàng thuận lợi với điều trị chống đông máu; tuy nhiên, một số bệnh nhân có thể không cải thiện hoặc xấu đi về mặt lâm sàng mặc dù đã được điều trị. AHA / ASA gợi ý rằng những bệnh nhân này có thể có thêm một lựa chọn điều trị là tiêu huyết khối nội mạch được thực hiện ở các trung tâm cao cấp . Làm tan huyết khối giúp làm tan cục máu đông và tái thông xoang hoặc tĩnh mạch não bị tắc. Một tổng quan hệ thống của 15 nghiên cứu cho thấy tiêu huyết khối gia tăng đáng kể các biến chứng chảy máu lớn liên quan.
NC tiêu huyết khối hoặc chống đông máu trong huyết khối tĩnh mạch não, nghiên cứu đối chứng ngẫu nhiên, đa trung tâm đang tiếp tục để xác định xem liệu tiêu huyết khối có cải thiện kết cục ở những bệnh nhân CVT nặng với kết cục kém hay không . Trong tương lai gần, nghiên cứu này có thể cung cấp hiểu biết tốt hơn về việc sử dụng thuốc tiêu huyết khối ở bệnh nhân CSVT. Ủy ban Tiêu chuẩn về Huyết học của Anh khuyến cáo rằng thuốc tiêu huyết khối nội mạch được sử dụng như một biện pháp cuối cùng ở những bệnh nhân có kết quả tử vong hoặc không đáp ứng với liệu pháp chống đông máu. Tuy nhiên, nó không được chỉ định ở những bệnh nhân có tình trạng xấu đi được cho là do xuất huyết nội sọ.
Điều trị triệu chứng
Điều trị triệu chứng chủ yếu bao gồm kiểm soát cơn co giật và tăng áp lực nội sọ, có thể dẫn đến mất thị lực và đau đầu.
Kiểm soát cơn co giật
Co giật xảy ra thường xuyên, ảnh hưởng đến 50% tổng số bệnh nhân CVT, và việc sử dụng dự phòng thuốc chống động kinh mặc dù được một số nghiên cứu ưa chuộng, vẫn còn tranh cãi . Một nghiên cứu tiền cứu đã xác định xuất huyết nội sọ, huyết khối tĩnh mạch vỏ, và thiếu hụt thần kinh khu trú là những yếu tố tiên lượng độc lập của cơn động kinh sớm và cho rằng liệu pháp chống động kinh dự phòng có thể có lợi cho những bệnh nhân này . Một nghiên cứu khác cho thấy sự thiếu hụt cảm giác khu trú và hình ảnh nhập viện cho thấy phù hoặc nhồi máu khu trú (thiếu máu cục bộ / xuất huyết) là những yếu tố dự báo đáng kể cơn co giật ở bệnh nhân CVT . Một số nghiên cứu cũng đã chứng minh sự hiện diện của tổn thương trên lều là một yếu tố tiên đoán cho cơn động kinh . Mặc dù thời gian điều trị không chắc chắn, nên điều trị chống động kinh cho bệnh nhân CSVT cấp tính có co giật và tổn trên lều để ngăn ngừa tái phát.
Điều trị tăng áp lực nội sọ
Phù não thường gặp ở bệnh nhân CSVT. Tuy nhiên, tình trạng sưng phù nhẹ được cải thiện khi điều trị bằng thuốc chống đông máu, giúp làm tan huyết khối, cải thiện lưu lượng và do đó làm giảm áp lực nội sọ. Những bệnh nhân bị đau đầu có thể được dùng thuốc giảm đau để giảm triệu chứng. Thoát vị não qua lều là nguyên nhân tử vong phổ biến nhất ở bệnh nhân CSVT. Các chất ức chế anhydrase carbonic như acetazolamide giúp giảm áp lực nội sọ (ICP) và giảm đau đầu cũng như ngăn ngừa tổn thương thị giác. Hiệp hội Thần kinh Châu Âu khuyến cáo:
- LP có thể được xem xét trước khi bắt đầu chống đông, trong trường hợp không có bất thường nhu mô (nhồi máu lớn hoặc xuất huyết) ở bệnh nhân tăng áp lực nội sọ.
- Acetazolamide có thể được xem xét ở những bệnh nhân bị phù nề gai thị dai dẳng.
- Ở những bệnh nhân bị suy giảm thị lực liên tục mặc dù đã dùng LP và Acetazolamide lặp đi lặp lại, có thể xem xét các thủ thuật tạo shunt như lumboperitoneal, ventriculoperitoneal shunts, và optic nerve fenestration.
- Liệu pháp steroid không hiệu quả do thiếu bằng chứng khoa học.
- Điều trị chống phù nề cần được thực hiện dựa trên các nguyên tắc chung của điều trị ICP nâng cao. Chúng bao gồm nâng cao đầu ở 30 °, tăng thông khí (PaCO2 mục tiêu = 30–35 mm Hg), và tiêm tĩnh mạch thuốc lợi tiểu thẩm thấu.
- Phẫu thuật giải áp (craniectomy) được khuyến khích ở những bệnh nhân bị huyết khối nặng và sắp có thoát vị do tổn thương nhu mô lớn.
Mang thai và tránh thai (Pregnancy and Contraception)
CSVT xảy ra trong thời kỳ mang thai hoặc sau sinh không phải là chống chỉ định cho những lần mang thai sau này . CSVT xảy ra trong những giai đoạn này nên được điều trị bằng LMWH và tiếp tục trong 6 tuần sau sinh. Tất cả các hình thức tránh thai bằng nội tiết tố, ngoại trừ các liệu pháp chỉ dùng progesterone nên ngừng ở những bệnh nhân phát triển CSVT với OCP hoặc liệu pháp thay thế hormone. Các hình thức tránh thai khác có thể được sử dụng thay thế ở những bệnh nhân này.
Điều trị các yếu tố nguy cơ tiềm ẩn
Đánh giá chẩn đoán kỹ lưỡng để xác định các yếu tố căn nguyên cơ bản sau đó điều trị thích hợp là điều cần thiết trong quản lý CSVT.
- Kháng sinh cho nhiễm trùng huyết và các bệnh nhiễm trùng trong và ngoài sọ khác.
- Hóa trị nên được thực hiện theo khuyến cáo đối với các bệnh ung thư cụ thể.
- Ngừng tất cả các liệu pháp nội tiết tố như thuốc uống tránh thai và liệu pháp thay thế hormone. Có thể sử dụng phương pháp điều trị kiểm soát progesterone.
- Thuốc steroid được khuyến cáo ở những bệnh nhân bị CSVT cấp tính và bệnh Behcet, viêm mạch máu, hoặc các bệnh viêm nhiễm khác như lupus ban đỏ hệ thống
Dự hậu
Các yếu tố dự báo tử vong cấp tính là thoát vị qua lều giai đoạn ICP tăng lên, tình trạng động kinh và các bệnh kèm theo. Các yếu tố dự đoán tử vong ở ngày thứ 30 là tổn thương ý thức, thay đổi trạng thái tinh thần, huyết khối hệ thống tĩnh mạch sâu, xuất huyết bán cầu phải và tổn thương hố sau. Một đánh giá hệ thống nghiên cứu diễn biến tự nhiên của CSVT cho thấy tỷ lệ tử vong là 5,6% trong giai đoạn cấp tính và 9,4% khi kết thúc theo dõi. Nghiên cứu cũng cho thấy rằng phục hồi hoàn toàn hoặc một phần hoàn toàn (thiếu hụt chức năng và nhận thức nhẹ) được thấy trong 88% trường hợp, và tỷ lệ tái phát là 2,8% . Đau đầu là phàn nàn phổ biến nhất gặp phải trong quá trình theo dõi bệnh nhân CVT, nếu dai dẳng, có thể làm gia tăng lo ngại bệnh tái phát. Nên đánh giá bằng hình ảnh thần kinh (CT / MRI) và LP nếu cần thiết. Bệnh nhân bị CSVT có tăng nguy cơ tái phát CSVT trong khoảng một phần ba trường hợp hoặc các dạng VTE khác. Trong những trường hợp này, tình trạng huyết khối cần được loại trừ bằng các phương thức chẩn đoán thích hợp . Các dấu hiệu cho tiên lượng lâu dài xấu hơn bao gồm giới tính nam, xuất huyết nội sọ trên hình ảnh, căn nguyên nhiễm trùng hoặc ác tính, tình trạng tâm thần bị thay đổi và / hoặc thang điểm hôn mê Glasgow <9, và huyết khối của hệ thống tĩnh mạch não sâu
Kết luận
CSVT là một dạng đột quỵ hiếm gặp, thường ảnh hưởng đến các nhóm tuổi trẻ hơn, đặc biệt là phụ nữ trong độ tuổi sinh sản. Biểu hiện lâm sàng có thể thay đổi với đau đầu là triệu chứng biểu hiện phổ biến nhất và cần có chỉ số nghi ngờ lâm sàng cao để phát hiện những người bị ảnh hưởng. Chẩn đoán chủ yếu sử dụng CTV / MRI / MRV và chụp mạch não nếu các phương thức hình ảnh khác không thành công. Chống đông máu bằng LMWH là phương pháp điều trị chính, và tiêu huyết khối nội mạch vẫn còn nhiều tranh cãi. Xuất huyết nội sọ không được coi là chống chỉ định sử dụng thuốc chống đông máu trong CVT. Bệnh nhân CVT tăng nguy cơ tái phát CVT và các bệnh VTE khác.
Nghiên cứu trong tương lai
Vẫn còn rất nhiều nghiên cứu cần thiết để hiểu đầy đủ về quá trình tiến triển của CVT, điều này sẽ hỗ trợ thêm cho việc chẩn đoán và quản lý bệnh. Các nghiên cứu trong tương lai được yêu cầu để hiểu về dịch tễ học và căn nguyên các yếu tố nguy cơ do sự hiếm gặp của bệnh. Các kỹ thuật chẩn đoán mới hơn là rất cần thiết và cần phải có các nghiên cứu so sánh quy mô lớn về các kỹ thuật hình ảnh hiện có. Cần có các nghiên cứu có đối chứng ngẫu nhiên lớn để cung cấp bằng chứng mạnh mẽ hơn cho các can thiệp điều trị khác nhau của CVT. Cần có các nghiên cứu sâu hơn để so sánh các liệu pháp khác nhau để giúp hỗ trợ điều trị tốt hơn cho bệnh nhân CVT vì tỷ lệ tử vong tăng lên.
Tháng 4/2021
Nguồn European Stroke Organization, 2017
PGS.TS Cao Phi Phong
Đọc thêm



Tin cùng chuyên mục:
Migraine tiền đình (vestibular migraine)
Migraine ở phụ nữ có thai
Cập nhật chẩn đoán và điều trị chóng mặt tư thế kịch phát lành tính (BPPV)
Nguy cơ xuất huyết não tăng lên khi dùng Aspirin liều thấp trong phòng ngừa nguyên phát