(Tài liệu lược dịch từ: Guidelines for the management of spontaneous intracerebral hemorrhage from the American Heart Association/American Stroke Association, 2015) BS CK1 Nguyễn Văn Nghĩa, PGS.TS Cao Phi Phong
Giới thiệu:
Xuất huyết não tự phát, không do chấn thương (Spontaneous, nontraumatic intracerebral hemorrhage (ICH)) là nguyên nhân gây tử vong và bệnh tật quan trọng trên toàn thế giới. Điều trị tốt nội khoa ảnh hưởng trực tiếp đến tử vong và bệnh tật ICH, trước khi tìm được điều trị đặc hiệu.
ICH xảy ra hầu hết ở nhân bèo (putamen) (50%), vỏ não, đồi thị, tiểu não và cầu não, huyết áp là yếu tố nguy cơ cao. Thể tích khối máu tụ tăng trong 1/3 trường hợp trong 4 giờ đầu.
Tiên lượng tùy thuộc thể tích khối máu tụ, áp lực mạch ban đầu (initial pulse pressure), tuổi, điểm Glasgow Coma Scale (GCS) và hiện diện máu trong não thất. Thể tích khối máu tụ < 30 cc liên quan đến tiên lượng thần kinh tốt (tùy thuộc vị trí xảy ra), > 60 cc tiên lượng xấu.
Chỉ định phẩu thuật thần kinh: chảy máu vùng hố sau đường kính tối đa > 3cm hoặc chèn ép đáng kể vào não thất tư hoặc chảy máu trên lều ở ngưởi trẻ (<50 tuổi) với tình trạng suy giảm ý thức nhanh.
Các biến chứng ICH: tụt não, tràn dịch não (do tác động khối trên não thất ba hoặc não thất tư hoặc lan rộng trong não thất), co giật (chiếm đến 25% của ICH, phổ biến hơn ở ICH vỏ não, dự phòng bằng thuốc chống co giật còn gây tranh cãi).
Guideline này cung cấp cập nhật từ guideline năm 2010
Chẩn đoán và đánh giá cấp cứu:
Khuyến cáo
1.Sử dụng thang điểm (ICH score) để đánh giá mức độ nặng của bệnh nhân ICH (Class I; MĐBC B). (Khuyến cáo mới).
2.Tiến hành chụp CT hoặc MRI sọ não nhanh chóng để phân biệt loại trừ đột quỵ thiếu máu não với ICH (Class I; MĐBC A). (Không thay đổi so với Guideline trước)
3.CTA và CT có cản quang có thể được xem xét để giúp xác đinh bệnh nhân có nguy cơ tăng khối máu tụ (Class IIb, MĐBC B), và CTA, CT tĩnh mạch, CT có cản quang, MRI có cản từ, MRA, MRV và DSA có thể được sử dụng để đánh giá cấu trúc tổn thương bao gồm mạch máu, khối u khi có nghi ngờ trên lâm sàng hoặc x quang (Class IIa, MĐBC B). (Không thay đổi so với Guideline trước).
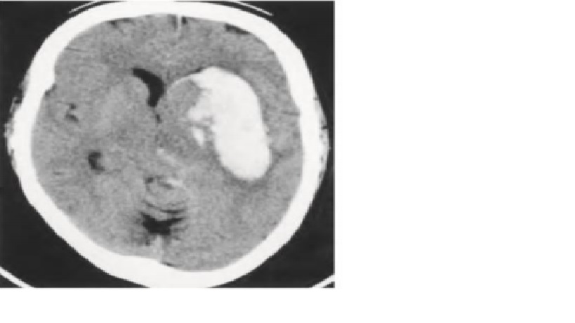
CT đầu không cản quang: xuất huyết putamen(T) lan vào não thất

CTA và ICH: Spot sign
• CT cản quang thoát mạch vào trong hematoma
– Spot sign, mũi tên trắng
• Có thể tiên lượng hematoma lan rộng

Delgado Almandoz et al. Stroke, 40 (9): 2994. 2009
Điều trị nội khoa ICH
Cầm máu và bệnh lý đông máu, kháng kết tập tiểu cầu và dự phòng huyết khối tĩnh mạch sâu:
1. Những bệnh nhân thiếu yếu tố đông máu hoặc giảm tiểu cầu nặng nên được điều trị thay thế yếu tố đông máu hoặc tiểu cầu phù hợp (Class I, MĐBC C). (Không thay đổi so khuyến cáo trước)
2.Những bệnh nhân với ICH có INR tăng do sử dụng VKA nên ngừng ngay VKA, điều trị thay thế yếu tố phụ thuộc vitamin K (vitamin K–dependent factors), điều chỉnh INR và vitamin K tĩnh mạch (Class I, MĐBC C). PCCs (prothrombin complex concentrates) có thể có ít biến chứng và điều chỉnh INR nhanh chóng hơn FFP (Fresh frozen plasma ) và có thể được xem xét trước FFP. (Class IIb; MĐBC B). rFVIIa không được khuyến cáo cho đảo ngược VKA trong ICH (Class III, MĐBC C). (Được chỉnh sửa so Guideline trước).
3.Đối với những bệnh nhân ICH đang sử dụng dabigatran, rivaroxaban, hoặc apixaban, điều trị với FEIBA (factor eight inhibitor bypass activity), PCCs khác, hoặc rFVIIa có thể được xem xét ở những bệnh nhân này. Than hoạt (Activated charcoal ) có thể được sử dụng nếu thời gian uống < 2giờ. Lọc máu được xem xét đối với dabigatran (Class IIb; MĐBC C). (Khuyến cáo mới).
4. Protamin sulfate có thể được xem xét đối với ICH do heparin (Class IIb; MĐBC). (Khuyến cáo mới).
5. Ích lợi truyền tiểu cầu ở những bệnh nhân ICH có tiền căn sử dụng thuốc chống kết tập tiểu cầu thì không chắc chắn. (Class IIb, MĐBC C). (Được chỉnh sửa từ Guideline trước).
6. Mặc dù rFVIIa có thể giảm sự lan rộng của khối máu tụ ở những bệnh nhân ICH không do thuốc kháng đông, nhưng lại gia tăng nguy cơ huyết khối và không có lợi ích rõ ràng trên lâm sàng ở những bệnh nhân được chọn. Vì thế, rFVIIa không được khuyến cáo (Class III, MĐBC A). (Không thay đổi từ Guideline trước).
7. Những bệnh nhân với ICH nên được dự phòng huyết khối tĩnh mạch bằng nệm áp lực hơi ngắt quãng (intermittent pneumatic compression) trong ngày đầu nằm viện (Class I, MĐBC A). Vớ nén (Graduated compression stockings) không có ích lợi để giảm DVT hoặc cải thiện kết cục (Class III; MĐBC A). (Được chỉnh sửa từ Guideline trước).
8. Sau khi đã ngừng chảy máu, tiêm dưới da liều thấp Heparin trọng lượng phân tử thấp hoặc heparin không phân đoạn có thể được xem xét để dự phòng thuyên tắc tĩnh mạch ở những bệnh nhân không khả năng cử động sau 1 – 4 ngày khởi phát bệnh (Class IIb, MĐBC B). (Không thay đổi từ Guideline trước)
9. Kháng đông hệ thống hoặc IVC filter placement có thể được chỉđịnh ở bệnh nhân ICH có triệu chứng của tắc tĩnh mạch sâu hoặc thuyên tắc phổi (Class IIa, MĐBC C). Quyết định giữa 2 lựa chọn dựa vào một số yếu tố như thời gian khởi phát chảy máu, sự ổn định của khối máu tụ, nguyên nhân xuất huyết, và tình trạng chung của bệnh nhân. (Class IIa, MĐBC C). (Khuyến cáo mới).
Huyết áp:
Khuyến cáo
1.Đối với những bệnh nhân ICH có huyết áp tâm thu từ 150 – 220 mmHg và không có chống chỉ định điều trị huyết áp cấp, hạ huyết áp tâm thu xuống 140 mmHg là an toàn (Class I; MĐBC A) và có thể cải thiện tiên lượng (Class IIa; MĐBC B). (Được chỉnh sửa từ Guideline trước).
2.Đối với những bệnh nhân ICH có huyết áp tâm thu > 220 mmHg, Xem xét hợp lý là hạ huyết áp tích cực với truyền tĩnh mạch liên tục và theo dõi huyết áp thường xuyên. (Class I; MĐBC C). (Khuyến cáo mới)
Quản lý bệnh nhân nhập viện và dự phòng tổn thương não thứ phát
Theo dõi tổng quát và chăm sóc điều dưỡng:
Khuyến cáo
Bệnh nhân xuất huyết não nên được theo dõi và điều trị ở ICU hoặc đơn vị đột quỵ với bác sĩ và điều dưỡng có kinh nghiệm và chuyên khoa thần kinh. (Class I; MĐBC B). (Được chỉnh sửa so với Guideline trước).
Kiểm soát đường huyết:
Khuyến cáo
Đường huyết nên được kiểm soát tốt. Cả tăng và hạ đường huyết đều cần được tránh (Class I; MĐBC C). (Được chỉnh sửa so Guideline trước).
Kiểm soát nhiệt độ:
Khuyến cáo
Điều trị sốt sau ICH có thể hợp lý (Class IIa, MĐCC C). (Khuyến cáo mới).
Cơn động kinh và thuốc chống cơn động kinh
Khuyến cáo
Cơn động kinh trên lâm sàng nên được điều trị với thuốc chống cơn động kinh (class I, MĐBC A). (Không thay đổi so với Guideline trước)
Những bệnh nhân có thay đổi tri giác, có dấu hiệu của động kinh trên EEG nên được điều trị với thuốc chống cơn động kinh (Class I,MĐBC C). (Không thay đổi so với Guideline trước)
Theo dõi EEG liên tục hầu như được chỉ định ở những bệnh nhân ICH có thay đổi tri giác xấu hơn liên quan đến sự không cân xứng mức độ tổn thương não (Class IIa; MĐBC C). (Được chỉnh sửa so Guideline trước).
Chỉ định thuốc chống cơn động kinh dự phòng không được khuyến cáo (Class III; MĐBC B) ). (Không thay đổi so với Guideline trước)
Điều trị biến chứng
Khuyến cáo
Nên tầm soát chứng nuốt khó ở tất cả bệnh nhân trước khi bắt đầu cho ăn đường miệng để giảm nguy cơ viêm phổi hít (Class I; MĐBCB). (Khuyến cáo mới).
Tầm soát hệ thống thiếu máu cơ tim hoặc nhồi máu cơ tim với điện tâm đồ và men tim sau khi khởi phát ICH là hợp lý (Class IIa;MDBC C). (Khuyến cáo mới).
Thủ thuật/Phẫu thuật
Theo dõi áp lực nội sọ và điều trị:
Khuyến cáo
- Dẫn lưu não thất để điều trị tràn dịch não thất (hydrocephalus) là hợp lý, đặc biệt ở những bệnh nhân hôn mê (Class IIa; MĐBC B). (Được chỉnh sửa so Guideline trước).
- Những bệnh nhân có GCS ≤ 8 và có bằng chứng lâm sàng của thoát vị não, hoặc xuất huyết não thất nặng hoặc hydrocephalus có thể xem xét theo dõi áp lực nội sọ và điều trị. CPP từ 50 – 70 mmHg có thể hợp lý để duy trì tùy theo trạng thái tự điều hòa của não. (Class IIb, MĐBC C). (Không thay đổi so với Guideline trước).
- Corticosteroids không được chỉ định trong điều trị tăng áp lực nội sọ ở bn ICH (Class III, MĐBC B). (Không thay đổi so với Guideline trước ).
Xuất huyết trong não thất:
Khuyến cáo
1. Mặc dù tiêm rtPA vào trong não thất ở những bệnh nhân xuất huyết trong não thất cho thấy rất ít biến chứng, nhưng hiệu quả và độ an toàn của điều trị này vẫn còn chưa chắn chắn (Class IIb, MĐBC B). (Được chỉnh sửa so Guideline trước).
2. Hiệu quả của điều trị nội soi (endoscopic ) não thất là không chắc chắn (Class IIb, MĐBC B). (Khuyến cáo mới)
Điều trị phẫu thuật trong ICH:
Khuyến cáo
1. Những bệnh nhân với xuất huyết tiểu não có dấu thần kinh xấu dần hoặc có chèn ép thân não và/hoặc hydrocephalus do tắc nghẽn não thất nên được phẫu thuật để loại bỏ xuất huyết càng sớm càng tốt (Class I, MĐBC B). Điều trị ban đầu ở những bệnh nhân này là dẫn lưu não thất tốt hơn, phẫu thuật lấy máu tụ (surgical evacuation) không khuyến cáo (Class III, MĐBC C). (Không thay đổi so với Guideline trước).
2. Đối với hầu hết bệnh nhân xuất huyết trên lều, phẫu thuật không mang lại lợi ích (Class IIb, MĐBC A). (Được chỉnh sửa so Guideline trước). Những trường hợp ngoại lệ cụ thể và các nhóm phụ cân nhắc được nêu ở khuyến cáo 3 và 6 3. Lấy bỏ khối máu tụ sớm không có lợi so với lấy bỏ khối máu tụ sau khi bệnh nhân đã có dấu hiệu xấu đi (Class IIb, MĐBC A). (Khuyến cáo mới).
4. Lấy bỏ khối máu tụ trên lều ở những bệnh nhân đang chuyển hướng xấu được xem xét như một biện pháp để cứu sống bệnh nhân (Class IIb, MĐBC C). (Khuyến cáo mới).
5. DC (Decompressive hemicraniectomy) có hoặc không có lấy bỏ khối máu tụ có thể giảm tử vong ở những bệnh nhân xuất huyết trên lều có hôn mê, có khối máu tụ lớn với đẩy lệch đường giữa nặng, hoặc có tăng áp lực nội sọ kháng trị nội khoa (Class IIb, MĐBC C). (Khuyến cáo mới).
6. Hiệu quả của lấy bỏ cục máu đông xâm lấn tối thiểu với hút qua nội soi hoặc stereotactic có hoặc không sử dụng tiêu sợi huyết là không chắc chắn (Class IIb, MĐCC B). (Được chỉnh sửa so Guideline trước).
Dự đoán kết cục và rút lui hổ trợ kỹ thuật:
Khuyến cáo
1.Chăm sóc tích cực sớm sau khi ICH khởi phát và trì hoãn DNAR (do not attempt resuscitation) mới cho đến khi ít nhất là ngày nhập viện thứ hai hầu như chắc chắn được khuyến cáo (Class IIa, MĐBC B). Những bệnh nhân đã được xếp lịch DNAR từ trước không nằm trong đề xuất này. Mỗi bệnh nhân được tiên lượng sớm sau ICH không bị ảnh hưởng bởi việc rút hỗ trợ và lịch DNAR sớm. DNAR không nên hạn chế các biện pháp can thiệp y khoa và phẩu thuật thích hợp trừ khi được chỉ định rõ ràng. (Class III: MĐBC C). (Được chỉnh sửa so với Guideline trước).
Dự phòng ICH tái phát
Khuyến cáo
1. Khi phân tầng nguy cơ ICH tái phát có thể ảnh hưởng đến quyết định điều trị, hợp lý khi xem xét các yếu tố nguy cơ tái phát ICH sau đây: (1) Vị trí thùy xuất huyết ban đầu (2) Tuổi (3) Biểu hiện của vi xuất huyết trên MRI (4) Tiếp tục sử dụng kháng đông (5). Hiện diện của apolipoprotein E ε2 hay ε4 alleles (Class IIa, MĐBC B). (Được chỉnh sửa so với Guideline trước).
2. Huyết áp nên được kiểm soát ở tất cả những bệnh nhân ICH (Class I. MĐBC A) (Được chỉnh sửa so với Guideline trước). Kiểm soát tức khắc huyết áp sau ICH khởi phát (Class I; MĐBC A). (khuyến cáo mới)). Mục tiêu lâu dài <130 mmHg tâm thu và 80 mmHg tâm trương là hợp lý (Class IIa, MĐBC B). (Khuyến cáo mới).
3. Thay đổi lối sống, bao gồm tránh sử dụng cồn hơn 2 lần uống/ngày(use greater than 2 drinks per day), sử dụng thuốc lá, và thuốc gây nghiện, cũng như điều trị hội chứng ngưng thở khi ngủ là có lợi (Class IIa, MĐBC B). (Được chỉnh sửa so với Guideline trước).
4. Tránh kháng đông lâu dài với warfarin cũng như điều trị rung nhĩ không do bệnh valve tim có thể được khuyến cáo sau ICH thùy tự phát do warfarin bởi vì nguy cơ tái phát cao (Class IIa, MĐBC B). (Không thay đổi so với Guideline trước).
5. Kháng đông sau xuất huyết não nhưng không xuất huyết thùy não(nonlobar ICH) và đơn trị liệu chống kết tập tiểu cầu sau bất cứ ICH có thể được xem xét, đặc biệt khi có những chỉ định bắt buộc phải sử dụng những thuốc này (Class IIb, MĐCC B). (Được chỉnh sửa so với Guideline trước).
6. Thời điểm uống lại thuốc kháng đông tối ưu sau ICH do thuốc kháng đông là không chắc chắn, tránh sử dụng thuốc kháng đông ít nhất 4 tuần, ở những bệnh nhân không có bệnh valve tim cơ học, có thể giảm nguy cơ xuất huyết tái phát (Class IIb, MĐBC B).(khuyến cáo mới) Nếu được chỉ định, đơn trị liệu aspirin có thể được khởi động lại sau vài ngày ICH, mặc dù thời gian tối ưu cũng chưa rõ ràng (Class IIa, MĐBC B). (Khuyến cáo mới)
7. Sử dụng Dabigatran, rivaroxaban, hoặc apixaban ở những bệnh nhân với rung nhĩ và ICH trước đó làm giảm nguy cơ tái phát là không chắc chắn (Class IIb, MĐBC C). (Khuyến cáo mới).
8. Có những dữ liệu không đầy đủ khuyến cáo hạn chế sử dụng statin ở những bệnh nhân ICH (Class IIb, MĐBC C). (Không được chỉnh sửa so với Guideline trước).
Phục hồi chức năng:
Khuyến cáo
1.Do bản chất nghiêm trọng của việc khuyết tật, bằng chứng ngày càng có hiệu quả, tất cả các bệnh nhân ICH đều được tiếp cận với phục hồi chức năng đa ngành (Class I; MĐBC A). (Được chỉnh sửa so với Guideline trước).
2.Nếu có thể, phục hồi có thể có lợi khi bắt đầu càng sớm càng tốt và tiếp tục trong cộng đồng như là một phần của chương trình phối hợp gữa bệnh viện và gia đình để thúc đẩy quá trình phục hồi (Class IIa; MĐBC B); (Không được chỉnh sửa so với Guideline trước)
Tháng 6/2021
Đọc thêm
Guidelines điều trị xuất huyết trong não tự phát- AHA/ASA 2010



Tin cùng chuyên mục:
Migraine tiền đình (vestibular migraine)
Migraine ở phụ nữ có thai
Cập nhật chẩn đoán và điều trị chóng mặt tư thế kịch phát lành tính (BPPV)
Nguy cơ xuất huyết não tăng lên khi dùng Aspirin liều thấp trong phòng ngừa nguyên phát